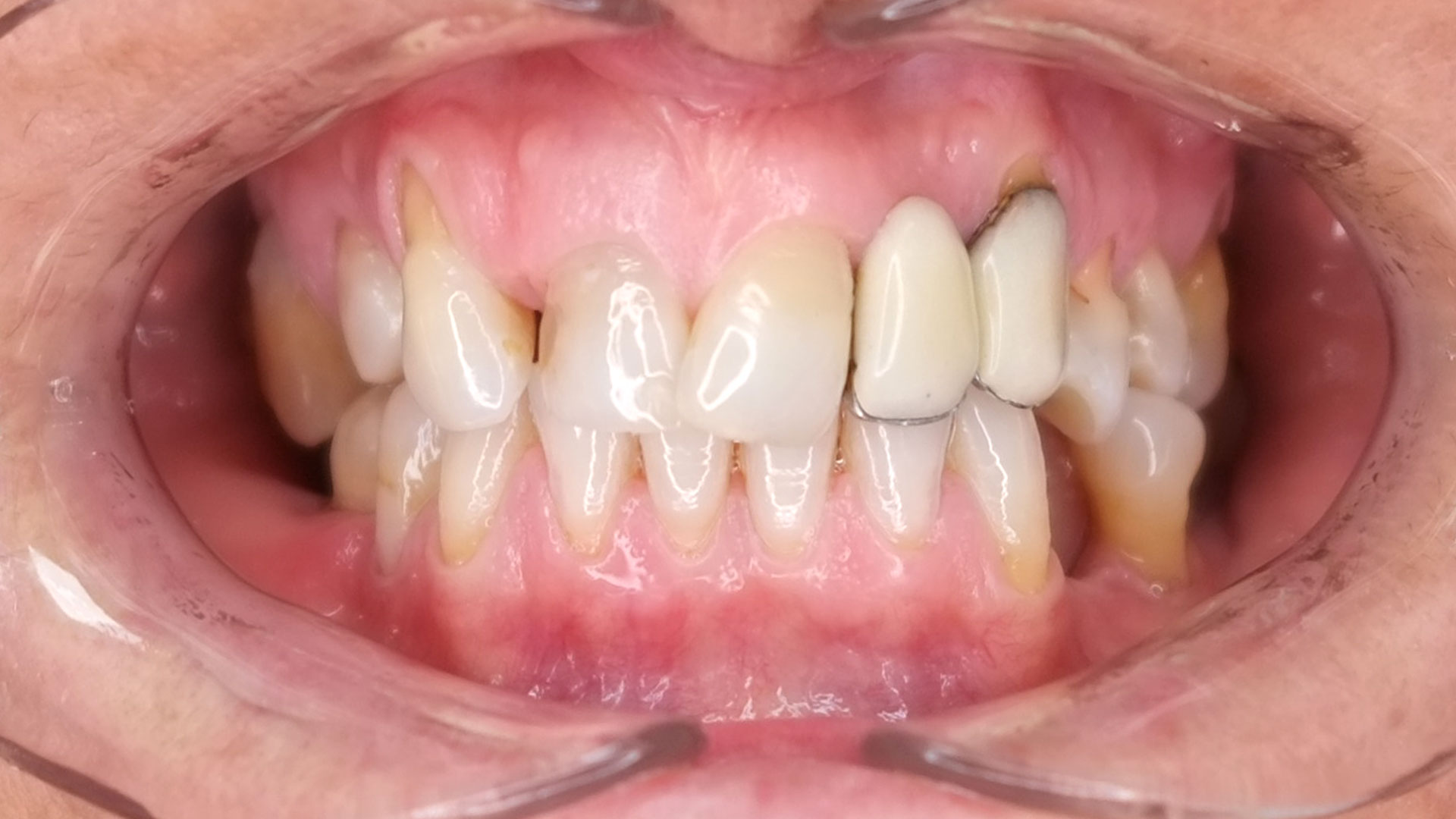
Aquí puedes ver algunos de los casos de pacientes que han confiado en nosotros para solucionar sus problemas dentales.
Historias reales de personas que hoy vuelven a comer, sonreír y vivir sin molestias.





Porque saben que aquí van a encontrar personas que se preocupan de verdad por su salud bucodental.
La mayoría de nuestros pacientes llegan con problemas acumulados, molestias, miedo al dentista o simplemente con la sensación de que “ya toca arreglar la boca”. Y nuestro trabajo empieza escuchando.
Queremos que te sientas cómodo desde que entras por la puerta.
Nuestra clínica está pensada para que vivas tu visita con tranquilidad y sin estrés.







Publicado en Chiky TenorioTrustindex verifica que la fuente original de la reseña sea Google. Me dan cita para a las 19.00, me mandan el recordatorio el dia antes diciendo que tenia a la cita a las 15:00(a esa hora no me viene bien) les digo que la hora que tengo es a las 19.00 me dicen de que sin problema, cuando me presento no me atienden porque ellos se han confundido de hora. Los muy sinvergüenzasPublicado en Soreta LopezTrustindex verifica que la fuente original de la reseña sea Google. Me dieron un presupuesto infladisimo casi el doble que en otros sitios.La odontóloga que me atendió no me miro ni a la cara, cantando a su compañera el presupuesto casi imponiéndole. No me explico nada. No volvería jamás *No encontrais mi ficha porque estoy en un nik,no mi nombre real. Tú compañera me ha atendido en escasos cinco minutos y me ha puesto un montón de cosas sin explicarme, como si fueran churros. Además de una barbaridad de precio. Y para colmo me pone limpieza cuando me han hecho una hace dos semanas....Publicado en Amal benTrustindex verifica que la fuente original de la reseña sea Google. un accueil parfait, un service impeccablePublicado en Sonia Sanchez ChiquitoTrustindex verifica que la fuente original de la reseña sea Google. Recomiendo la clínica 100 💯, trato excepcional y resultado espectaculares, muy contenta después del tratamiento de brackets, un equipo espectacular 🫶🏻Publicado en Nuria BermudezTrustindex verifica que la fuente original de la reseña sea Google. Mi dentista de referencia, su sensatez y calidad en el trabajo han hecho que me desplace hasta fuensalida sin dudarlo para que me traten ellos en lo necesario.Publicado en Cathaysa MorenoTrustindex verifica que la fuente original de la reseña sea Google. Buscábamos un sitio de confianza después de muchos fails, pérdida de dinero y decepciones. Por fin encontramos esta clínica donde ya nos hemos quedado y esperamos seguir haciéndolo por mucho tiempo!! Siempre nos tratan genial, no te hacen esperar mil horas como en otros muchos, se preocupan por tu buena salud bucal sin ir a sangrarte económicamente e intentan siempre ayudarte. Son muy buenos especialistas y el trato es inmejorable. Tanto de los dentistas que se implican y te explican todo genial, sus auxiliares que te cuidan y se preocupan en todo momento y las chicas de recepción que siempre tienen una sonrisa, se preocupan por darte el mejor trato y contestarte a todas las dudas que te puedan surgir. Grandes profesionales: Natalia, Vidal, Bea, Tamara, María...no podríamos decir nada malo de ellos!!!Publicado en Julio GómezTrustindex verifica que la fuente original de la reseña sea Google. Trato muy familiar, muy rapidos, higienicos y economicos. Totalmente recomendable.Publicado en Pilar Nieto HitaTrustindex verifica que la fuente original de la reseña sea Google. Sin duda es mi clínica detal de confianza, gente muy cualificada, y el trato inmejorable. Muy recomendablePublicado en Miguel Ángel Gil MartínTrustindex verifica que la fuente original de la reseña sea Google. Excelentes profesionales. Trato cercano e inmejorable, haciéndote sentir cómodo desde el primer momento. 100% satisfecho.
Si llevas tiempo con molestias, si te da miedo ir al dentista o si simplemente quieres revisar cómo está tu boca, estamos aquí para ayudarte.
Pide tu primera visita y cuéntanos tu caso.
Te escucharemos, estudiaremos con calma y te explicaremos todas las opciones disponibles, sin compromiso y sin presión.
Dar el primer paso es más fácil de lo que parece. Nosotros te acompañamos.